Verehrte Patienten, verehrte Gäste, verehrte Kolleginnen und Kollegen,

das diagnostische Repertoire ist in den letzten zwei Jahrzehnten enorm angewachsen. Ultraschall, Röntgen, Szintigraphie, Computertomographie (CT) und die Magnetresonanztomographie (MRT) sind die wichtigsten klinisch-radiologischen Methoden. Durch den optimierten Einsatz jeder Methode, verbunden mit einer verständlichen Aufklärung des Patienten, sind der diagnostische Gewinn hoch und die Risiken für die Patienten klein. Generell hat sich die Zusammenarbeit zwischen Radiologen und Kollegen verschiedener Fachrichtungen in einem Ärzteteam bewährt.

In der Herzdiagnostik der Kerckhoff-Klinik arbeiten beispielsweise Radiologen und Kardiologen in Fragen der Indikation, Durchführung und Auswertung von bildgebenden Methoden eng zusammen. Auch für Erkrankungen anderer Organe wie der Lunge, dem Gefäßsystem und dem Bewegungsapparat gibt es regelmäßige fachübergreifende  Besprechungen, um jedem Patient gemäß seiner Fragestellung mit möglichst wenigen bildgebenden Verfahren zielführend und schonend zu untersuchen.

 

Dr. A. W. Breithecker, Direktor der Abteilung

 

Kontakt

Diagnostische & Interventionelle Radiologie

Direktor

Dr. Andreas W. Breithecker

Sekretariat: Frau Christiane Bender

Tel.: + 49 60 32. 9 96 24 21

Fax: + 49 60 32. 9 96 24 33

Benekestr. 2-8

61231 Bad Nauheim

Anfrage stellen

Das Team der Abteilung stellt sich vor

Direktor & Sekretariat

 

Dr. med. Andreas W. Breithecker

Tel.: + 49 (0) 6032 996 2421

Fax: + 49 (0) 6032 996 2433

E-Mail schreiben > 

 

Sekretariat

Dr. med. Andreas W. Breithecker

Frau Christiane Bender

Tel.: + 49 (0) 6032 996 2421

Fax: + 49 (0) 6032 996 2433

E-Mail schreiben >

Leitender Oberarzt

 

Herr Tamo Siemons

Tel.: + 49 (0) 6032 996 2421

Fax: + 49 (0) 6032 996 2433

E-Mail schreiben >

Oberarzt

 

Herr Ahmed Emam

Tel.: + 49 (0) 6032 996 2421

Fax: + 49 (0) 6032 996 2433

E-Mail schreiben >

Facharzt

 

Herr Ahmed Al-Kamali

Tel.: + 49 (0) 6032 996 2421

Fax: + 49 (0) 6032 996 2433

E-Mail schreiben >

Med.-technisches Personal & Physiker

 

Med.-Technisches Personal (MTRA, MFA,)

Leitung:

Frau Juliane von Dahl

E-Mail schreiben >​​​​​​​

 

Physiker

Dr. Clemens Müller

E-Mail schreiben >

 

 

 

Notfälle

Sie erreichen den diensthabenden Arzt/Ärztin der Radiologie über

Tel.: + 49 60 32. 9 96 0 (Zentrale der Klinik).

Informationen

Einleitung

 

Vor der Therapie steht die Diagnose: Auch im Zeitalter modernster technischer Methoden haben das ärztliche Gespräch und die körperliche Untersuchung die größte Bedeutung in der Diagnosefindung. Erst dann kommen die modernen radiologischen Methoden, die neue Einsichten in innere Organe erlauben und genaue Aussagen zur Struktur und Funktion ermöglichen. Das diagnostische Repertoire ist in den letzten zwei Jahrzehnten enorm angewachsen. Ultraschall, Röntgen, Szintigraphie, Computertomographie (CT), Magnetresonanztomographie (MRT) und das PET/CT sind die wichtigsten klinisch-radiologischen Methoden. Sie arbeiten nach ganz unterschiedlichen physikalischen Prinzipien und haben für die vorgegebene Fragestellung ihre speziellen Vor- und Nachteile aber auch Risiken. Durch den optimierten Einsatz jeder Methode, verbunden mit einer verständlichen Aufklärung des Patienten, sind der diagnostische Gewinn hoch und die Risiken für den Patienten klein. Generell hat sich die Zusammenarbeit zwischen Radiologen und Kollegen verschiedener Fachrichtungen in einem Ärzteteam bewährt.
In der Herzdiagnostik der Kerckhoff-Klinik arbeiten beispielsweise Radiologen und Kardiologen in Fragen der Indikation, Durchführung und Auswertung von bildgebenden Methoden eng zusammen, wodurch eine ideale Kombination aus technisch-klinischer Anwendung und klinisch-therapeutischer Erfahrung gewährleistet wird. Auch für Erkrankungen anderer Organe wie der Lunge, dem Gefäßsystem und dem Bewegungsapparat gibt es regelmäßige fachübergreifende  Besprechungen, um jeden Patienten gemäß seiner Fragestellung mit möglichst wenigen  bildgebenden Verfahren zielführend und schonend zu untersuchen. 

Leistungen

 

Die Kerckhoff-Klinik  schließt als Schwerpunktkrankenhaus heute die vier Zentren für Herz-, Lungen-, Rheuma- und Gefäßerkrankungen ein. Jährlich werden ca. 50.000 Patienten chirurgisch oder konservativ behandelt. Entsprechend groß sind die Anforderungen an die radiologischen Verfahren. Die radiologische Abteilung kann für die jeweiligen Zentren mit einem eingespielten Team die jeweils neuesten Methoden in einem 24-Stunden-Dienst bereitstellen.

  • Konventionelles Röntgen
  • Computertomografie (CT)
  • Magnetresonanztomografie (MRT)

     

Information Ärzte & Patienten

 

Liebe Kollegen,

Bitte beachten Sie:

Konventionelles Röntgen, Computertomographie (CT), Magnetresonanztomographie (MRT):

Patienten mit kassenärztlichen Überweisungen können nicht untersucht werden. Die Patienten haben aber die Möglichkeit, sich im Rahmen einer Privatliquidation (Selbstzahler) untersuchen zu lassen.


Liebe Patienten,

Bitte beachten Sie:

Konventionelles Röntgen, Computertomographie (CT), Magnetresonanztomographie (MRT): Wir können keine kassenärztlichen Überweisungen annehmen. Sie haben jedoch die Möglichkeit, sich im Rahmen einer Privatliquidation (Selbstzahler) behandeln zu lassen. Unsere Mitarbeiter werden einen Termin mit Ihnen vereinbaren oder Sie gegebenenfalls mit einem der zuständigen Ärzte verbinden.

Magnetresonanztomographie (MRT)
Telefon: +49 60 32. 9 96 24 27 oder 24 30

Computertomographie (CT)
Telefon: +49 60 32. 9 96 21 70

Röntgen
Telefon: +49 60 32. 9 96 26 48

 

Diagnostik

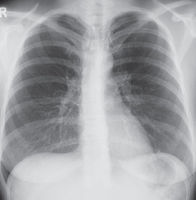
Konventionelles Röntgen

 

Die Röntgenuntersuchung steht für viele Fragestellungen auch heute noch an erster Stelle, weil sie einfach durchzuführen ist, eine relativ geringe Strahlenbelastung hat und einen schnellen Überblick über größere Körperabschnitte ermöglicht. Eine Röntgenröhre erzeugt Röntgenstrahlen, die die verschiedenen Gewebe des Menschen in unterschiedlichem Ausmaß durchdringen. Die Röntgenstrahlen treffen auf einen Detektor, der sie direkt in elektrische Impulse umwandelt („digitale“ Radiographie). Gegenüber den heute veralteten Röntgenfilmen hat ein digitales Röntgenbild den Vorteil, an vielen Bildschirmen gleichzeitig betrachtet, auf Massenspeichern archiviert und über Datenleitungen verschickt werden zu können.

Für die einzelnen Zentren der Kerckhoff-Klinik sind die wichtigsten Fragestellungen für die konventionelle Röntgenuntersuchung:   

  • Herzzentrum

Die wichtigsten Fragen der Kardiolog:innen und Herzchirurg:innen an den Radiologen betreffen Vergrößerungen der Herzkammern,  Einlagerung von Flüssigkeit um die Gefäße und Bronchien und die Entwicklung von Pleuraergüssen. Wichtige Begleiterkrankungen sind Entzündungen und Tumore. In der postoperativen Kontrolle nach Herzoperationen sind vor allem Komplikationen wie Entzündungen, Blutungen und Lufteintritt in das Rippenfell („Pneumothorax“) auszuschließen. 

  • Rheumazentrum

In das Rheumazentrum kommen sowohl Patient:innen mit akuten Erkrankungen der Gelenke und Wirbelsäule (z.B. die Rheumatoide Arthritis, Spondylarthritis (ASP), Gicht) als auch mit degenerativen Erkrankungen (z.B. Arthrosen, Osteoporose). Die Röntgenuntersuchung des schmerzenden Gelenks oder Körperabschnitts liefert hier meist schon richtungsweisende Befunde und steht an erster Stelle. Ergänzende bildgebende Verfahren sind der Ultraschall, das CT, MRT und in wenigen Fällen das PET-CT (z.B. bei Riesenzellarteriitis bzw. Aortitis).                                                                                                                                                                                                                             

  • Lungenzentrum

Eine zentrale Aufgabe in unserem Lungenzentrum ist die Diagnose und Behandlung von Lungentumoren. Hierfür stehen die Lungenaufnahme sowie die CT  im Vordergrund. Zum Nachweis oder Ausschluss von regionalen Lymphknoten- oder Organmetastasen bei malignen Lungentumoren gibt es in Bad Nauheim seit nunmehr acht Jahren ein PET-CT. Bei diffusen Lungenerkrankungen wie Lungenemphysem und verschiedenen Formen der Lungenfibrose liefert die Lungenaufnahme ebenfalls orientierende Informationen. In Deutschland führend ist das Lungenzentrum in der Diagnose und Therapie der  chronisch thrombembolischen pulmonalen Hypertonie (CTEPH), für die spezielle Erfahrungen auch in der Diagnostik mit Röntgen, CT und  MRT bestehen.

  • Gefäßzentrum 

Das Gefäßzentrum ist sowohl auf die Diagnose und Therapie von Erkrankungen der Arterien (Arteriosklerose, Aneurysmen,  Gefäßentzündungen) als auch der Venen (Thrombosen, Varizen, chron. venöse Insuffizienz) spezialisiert. Die wichtigsten radiologischen Verfahren sind der Ultraschall der Gefäße, der von den Gefäßspezialisten selbst durchgeführt wird und die Angiographie, die neben der Diagnose auch gleich die Möglichkeit einer Therapie (Angioplastie) ermöglicht. Zunehmend an Bedeutung gewinnen die nicht-invasive und schonende CT- und MR-Angiographie. Die Röntgenuntersuchung des Brustkorbes dient dem Ausschluss von Begleiterkrankungen des Herzens und der Lungen.

 

 

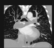
Computertomografie (CT)

 

Wie funktioniert der Dual Source Computertomograph (CT)?

Seit  März 2016 verfügt die Kerckhoff-Klinik über ein Dual-Souce-CT der neuesten Generation (CT-Force, Siemens). Das Gerät besteht aus zwei Röntgenröhren („Sources“) und zwei Detektorsystemen aus jeweils 192 Detektorzeilen, die gegenüberliegend auf einer rotierenden Scheibe um 90° versetzt montiert sind. Während der Messung rotiert das System dann bis zu 4x pro Sekunde um den/die Patienten/in, während der Tisch mit dem/der  Patienten/in durch die Öffnung des Gerätes gefahren wird, sodass das System aus zwei Strahlern und zwei Detektoren auf dem/der Patienten/in eine Spirale beschreibt (daher: „Dual-Source Multi-Detektor-Spiral-CT“).

 

Wie wird das Herz untersucht?

Für Untersuchungen des Herzens ist das neue CT besonders geeignet, weil mit zwei Strahlern und  zwei Detektoren eine 90°-Rotation zur Bilderstellung ausreicht. Für die Erstellung eines Herzbildes braucht man nur 66 ms, wodurch  Bewegungsunschärfen erheblich reduziert werden. Gleichzeitig liegt die Auflösung bei 0,3 mm, so dass mit dem neuen System eine unerreichte Bildqualität in der Herzdarstellung möglich wird.
Eine wichtige Fragestellung für das CT betrifft die Darstellung der Herzkranzgefäße bei der koronaren Herzerkrankung (KHK) bei Patienten mit einem mittleren Risiko einer behandlungsbedürftigen Einengung der Herzkranzgefäße (Koronarstenose). Die CT hat heute eine hohe Zuverlässigkeit im Nachweis oder Ausschluss von Koronarstenosen erreicht. Vor jedem CT sollte eine genaue Befragung des Patient:innen und eine kardiale Basisuntersuchung  erfolgt sein, damit das CT optimal eingesetzt werden kann und eine unnötige Strahlenbelastung (bei Patient:innen mit sehr geringem Risiko einer koronaren Herzerkrankung) oder unnötiger Zeitverzug zum Herzkatheter bei sehr hohem Risiko einer Koronarstenose  vermieden wird.

Die Untersuchung besteht aus zwei Messdurchgängen: Zunächst wird das Herz ohne Kontrastmittel  untersucht und der Kalkgehalt in den Gefäßwänden der Koronarien bestimmt. Sind keine Verkalkungen zu sehen, liegt auch keine KHK vor und die Untersuchung kann beendet werden. Bei sehr ausgeprägten Wandverkalkungen kann eine anschließende Koronarangiongraphie unmöglich werden.  Der sog. Kalziumscore gibt zudem wichtige Hinweise zur weiteren Prognose einer koronaren Herzerkrankung.
Im zweiten Durchgang werden dann die Koronarien mit Kontrastmittel untersucht, um Stenosen direkt nachzuweisen. Zudem kann in der CT auch die Gefäßwand der Koronarien beurteilt werden, weil Stenosen sowohl durch Kalkeinlagerungen (Kalkplaques) als auch  durch lokale Thromben („soft plaques“) verursacht sein können. Bei Nachweis einer Koronarstenose kann der/die Patient/in dann zum Herzkatheter  geschickt werden, um die Stenose zu eröffnen und einen Stent einzusetzen. Die Strahlenbelastung für den/die Patienten/in liegt bei 1-3 mSv und damit nur bei 1/3 bis 1/5 der bisherigen CT-Systeme. Die notwendige Kontrastmittelmenge liegt bei ca. 40-60 ml und damit ebenfalls bei der Hälfte bisheriger CT-Untersuchungen.

 

Wie wird die Lunge untersucht?

Die CT wird zur genauen Abklärung  von fokalen und diffusen Lungenerkrankungen (Tumore, Entzündungen, Fibrosen, Emphysem etc.) eingesetzt. Meist kommen die Patienten über unser Lungenzentrum.  Je nach Fragestellung werden verschiedene Techniken eingesetzt:
Das native CT wird  zur Abklärung von Tumoren, Fibrosen, Entzündungsprozessen  und Emphysemen eingesetzt, das generell mit 1mm dünnen Schichten als hoch aufgelöstes HRCT gefahren wird. Für das Kontrast-CT werden 50-60 ml Kontrastmittel vorher in die Armvene injiziert, dies dient der Erfassung der Vaskularisation von Tumoren und der besseren Abgrenzung von Lymphome bzw. Tumoren von Gefäßen.
In der CT-Angiographie werden die Pulmonalgefäße durch Bolustriggerung zeitgerecht kontrastiert, um Thromben (bei Lungenembolie) oder Gefäßstenosen (bei CTEPH) gezielt zu erfassen.  Für das Perfusions-CT werden beide Strahler und beide Detektoren benutzt, wobei der erste Strahler mit niedrigem kV-Wert (70 kV) und der zweite Strahler mit hohem kV-Wert (140 kV) angesteuert werden. Damit kann die lokale Konzentration von Jod im Kontrastmittel mit hoher lokaler und zeitlicher Auflösung an jedem Punkt in der Lunge bestimmt werden, wodurch Durchblutungsstudien für die gesamte Lunge möglich werden.

 

Untersuchungen des Bewegungsapparates

Auch in der Rheumatologie gibt es zahlreiche Fragestellungen für das CT. Große Abschnitte der Wirbelsäule können schnell und mit hoher Auflösung gescannt werden, um die knöchernen Veränderungen bei Spondylarthropathien und Osteoporose  zu beschreiben. Die DECT-Technik kann für Untersuchungen von Gelenken eingesetzt werden, um Uratkristallablagerungen bei Gichtpatient:innen direkt zu erkennen. Bei vielen Patient:innem mit rheumatologischen Erkrankungen ist die Lunge betroffen. Hier wird das HRCT zur Erfassung von Fibrosen, lokalen oder diffusen  Entzündungsprozessen und der gefährlichen Alveolitis eingesetzt.

 

Untersuchungen der Gefäße

Die CT und MRT wird heute zunehmend eingesetzt, um nicht-invasiv die Arterien nahezu aller Gefäßregionen zu untersuchen (z.B. Kopf-Halsgefäße, Aorta, Becken-Beinarterien). Notwendig ist die Gabe von 30-60 ml Kontrastmittel in die Armvene, die zeitgerechte Bestimmung der Ankunft des Kontrastmittels im Gefäßsystem („Bolustriggerung“) und die dreidimensionale Rekonstruktion des Gefäßbaumes durch einen Computer.  Ziel ist die Darstellung von Gefäßeinengungen („Stenose“), Verschlüssen und der Umgehungskreisläufe, um dann  die weitere Behandlung (Bypass,  Stent etc.) in einer gemeinsamen Konferenz festgelegen zu können. Eine besondere Fragestellung betrifft die Diagnose von Aussackungen der Aorta („Aneurysma“). Mit der CT können die genauen Maße und die Beziehung zu den Seitästen bestimmt werden,  um mit Hilfe eines Planungsprogrammes einen individuellen Stent zu bestellen, der dann minimal-invasiv (also ohne große OP)  passgenau eingesetzt werden kann.

 

Untersuchungen von Intensivpatienten

Die Kerckhoff-Klinik verfügt mit 48 Betten über eine der größten Intensivstationen. Neben dem Röntgenbild am Bett gewinnen CT-Untersuchungen zur Diagnose von akuten Notfällen (z.B. zerebrale Infarkte, Lungenembolien, Dissektionen, Blutungen, Darmischämien) eine besondere Bedeutung. Die Untersuchungen sind zügig durchzuführen, eine Überwachung der Vitalfunktionen während der Untersuchung ist leicht möglich und die Ursache des Notfalles ist meist schnell und umfassend zu klären. 

 

Was ist bei CT-Untersuchungen zu beachten?

Zu beachten ist die Strahlenbelastung durch die Untersuchung, die meist bei 1-3 mSv liegt. Zudem besteht für viele Fragestellungen die Notwendigkeit einer Kontrastmittelgabe, sodass die Nieren- und Schilddrüsenfunktion abgeklärt und nach Allergien gefragt werden muss. Auch muss die Frage nach einer bestehenden Schwangerschaft bei Frauen im gebärfähigen Alter unbedingt gestellt werden.
Die Untersuchung selbst ist für die Patient:innen relativ komfortabel: Sie besteht aus der Lagerung auf dem CT-Tisch, dem Legen einer Verweilkanüle in eine Armvene und zwei- dreimaligem Luftanhalten mit Injektion von 40-60 ml Kontrastmittel über einen Injektor. Der gesamte Zeitaufwand für die eigentliche Untersuchung beschränkt sich i. d. R. auf ca. 10-15 Minuten (mit Vor- und Nachbereitung). Nach der Untersuchung erhalten Sie von uns eine Flasche Wasser zum Trinken, um die Nierentätigkeit anzuregen und so das Kontrastmittel wieder schneller aus dem Körper zu befördern. Die Nachbearbeitung und Befundung der enormen Datenmengen dauert deutlich länger als die eigentliche Untersuchung. Die Patient:innen haben meist die Möglichkeit, nach einer Wartezeit von ca. 30 Min. mit dem behandelnden Arzt/Ärztin den Befund zu besprechen.

Magnetresonanztomographie (Kernspintomographie)

 

Seit Juli 2016 verfügt die Kerckhoff-Klinik über ein hochmodernes 3T-MRT (Skyra, Siemens). Die doppelt so hohe Feldstärke zu vielen anderen Geräten  erlaubt eine hohe Bildqualität bei relativ kurzen Messzeiten und hoher zeitlicher Auflösung, was nicht nur für Herzuntersuchungen, sondern auch für Untersuchungen von anderen Organen von Vorteil ist.

Wie funktioniert die Magnetresonanztomographie (Kernspintomographie)?

Ein markantes Bauelement ist der große, supraleitende Magnet, in dessen tunnelförmige Öffnung der/die Patient/in auf einem Tisch liegend hineingefahren wird. Über eine Radioantenne in der Tunnelwand werden Radioimpulse auf den/die Patienten/in eingestrahlt, die die Wasserstoffkerne im Patienten veranlassen, zunächst die Radiowellen zu absorbieren („Anregung“)  und nach einer Zeit von 0,5-2 Sekunden wieder auszusenden („Relaxation“). Die schwachen Radioimpulse werden mit der Radioantenne wieder aufgefangen, hinsichtlich Frequenz und Intensität analysiert und mit schnellen Bildrechnern zu einem digitalen Querschnittbild zusammengesetzt.
Durch die geeignete Wahl der Anregungsimpulse (die Sequenz) kann eine sog. Wichtung vorgenommen werden und der Gewebetyp hinsichtlich Fett, Blut, Muskel, spezieller Organgewebe, aber auch bezüglich eines Entzündungsprozesses  oder Tumors bewertet werden. Für bestimmte Gewebe (z.B. Herzmuskel) können die genauen T1- und T2-Relaxationszeiten für jeden Punkt berechnet und farbig dargestellt werden („Mapping“), was die Beurteilung von pathologischem Gewebe verbessert.  Durch die Gabe von 12-20 ml eines magnetischen Kontrastmittels über eine Armvene können Entzündungsprozesse und Tumoren noch besser abgegrenzt werden. Auch können fließende Protonen im Blut mit hohem Signal markiert werden, um die Herzkammern und die Gefäße signalintensiv zu markieren.

 

a) Umfassende Aufgaben in der Herzdiagnostik:
Durch schnelle Techniken ist es heute möglich, die Herzbewegung in verschieden Herzphasen „ einzufrieren“ und komplette Messungen während eines Atemstillstandes durchzuführen. Genaue Aussagen zur Anatomie, der Kontraktion, Durchblutung und Vitalität des Herzens bzw. Herzmuskels werden damit möglich. Eine zentrale Aufgabe des Herz-MRT betrifft die Frage, ob eine koronare Herzerkrankung bereits zu Funktionsstörungen, Minderdurchblutung oder Infarkten im Herzmuskel geführt hat. Hier steht heute die Stress-MRT als etablierte Methode zur Verfügung. Während einer Untersuchung von ca. 30 Minuten wird ein Koronardilatator für wenige Minuten über eine Armvene injiziert, wodurch eine Messung der Durchblutung unter Ausnutzung der Flussreserve möglich wird. Eine  weitere Indikationen für die kardiale MRT sind Kardiomyopathien (hypertrophe, dilatative, restriktive, ischämische Kardiomyopathie). Mit der MRT kann dabei der Funktionszustand des Herzmuskels und der Herzklappen quantitativ exakt beurteilt werden. Bei Entzündungen des Herzmuskels und Perikards (Myokarditis, Perikarditis) kann mit speziellen Techniken die Entzündungsaktivität bestimmt werden. Schließlich können mit der MRT Herzfehlbildungen, Aneurysmen der Herzkammern, Klappenfehler und Herztumore untersucht werden.  

 

b)  Schonende Diagnostik von Gefäßerkrankungen mit der MR-Angiographie
Mit schnellen Sequenzprotokollen können die Kopf-Halsarterien, die Aorta oder die Beinarterien  innerhalb von ca. 15-30Minuten untersucht und als dreidimensionaler Gefäßbaum abgebildet werden, um Stenosen, Gefäßverschlüsse oder Aneurysmen zu erkennen. Zudem werden regelmäßig die Nebennieren, Nieren und Nierenarterien zur Abklärung eines Hypertonus untersucht, um Nebennierentumore, Nierenerkrankungen und  Nierenarterienstenosen zu erfassen.

 

c) Gesicherte Indikationen bei Gelenkerkrankungen
Bei der Untersuchung rheumatischer Erkrankungen kann die Aktivität von Gelenkentzündungen abgeklärt werden, indem Knochenerosionen, Gelenkergüsse und Kontrastanreicherungen der Synovialmembran, Sehnenansätze und Gelenkweichteile beschrieben werden. Mit der MRT können heute alle Gelenke  beider Hände oder Füße in hoher Auflösung untersucht werden, um eine Polyarthritis abzuklären (z.B. rheumatoide Arthritis, Psoriasisarthritis).  Besonders wichtig ist der Nachweis einer Arthritis der Iliosakralgelenke, die wegweisend für die Diagnose von Spondylarthropathien (ankylosierende Spondylitis, Psoriasisarthritis, reaktive Arthritis) ist. Zudem kann die gesamte Wirbelsäule in einem Untersuchungsgang abgebildet werden.

 

d)  Untersuchungen des Gehirns und der hirnversorgenden Gefäße
Im Gehirn können Durchblutungsstörungen und Infarkte schon ca. eine Stunde nach Symptombeginn mit diffusions- und perfusionsgewichteten Sequenzen erkannt werden. Das ist wichtig, da die Zeitspanne vom Infarktereignis bis zum Therapiebeginn für den Behandlungserfolg entscheidend ist. In einem Untersuchungsgang können neben dem Gehirn zusätzlich die hirnversorgenden Arterien mit der sog. MR-Angiographie dargestellt werden und ursächliche Gefäßeinengungen oder Verschlüsse nachgewiesen werden.

 

Was ist für die Untersuchung im MRT zu beachten?

Das neue MRT hat einen großen Tunneldurchmesser von 70 cm bei kompakter Bauweise, sodass aufkommende Platzangst seltener ist. Bis heute sind keine schädigenden biologischen Effekte durch den Einsatz von Radiowellen und Magnetfeldern auf den Menschen bekannt geworden. Trotzdem sind einige Vorsichtsmaßnahmen zu beachten: besondere Vorsicht ist bei der Untersuchung von Patient:innen mit elektronischen Geräten im Körper geboten (Herzschrittmacher, Defibrillatoren, Schmerz- und Insulinpumpen, Innenohrimplantate), die meist eine MRT-Untersuchung verbieten. Einige Hersteller bieten heute Herzschrittmacher oder Defibrillatoren an, die unter bestimmten Bedingungen MRT-tauglich sind („MR conditional“). Auch in diesen Fällen ist die Indikation zum MRT sehr genau zu überlegen und eine enge Zusammenarbeit zwischen Kardiolog:innen und Radiolog:innen notwendig. Der Schrittmacher bzw. ICD muss vor und nach der Untersuchung überprüft werden. In jedem Fall sollte schon in der Planung abgeklärt werden, ob eine MRT-Untersuchung  bei diesen Patient:innen möglich ist. Der Schrittmacherpass mit genauer Produktbezeichnung sollte bereit gehalten werden. Keine Probleme für Untersuchungen in der MRT bereiten moderne, operativ implantierte, metallene Prothesen, Cerclagen und Clipse, da sie entweder aus Titan, Silber oder nicht ferromagnetischen Stahllegierungen bestehen. Dagegen sind Eisensplitter weiterhin eine Kontraindikation. Im Zweifelsfalle sollte nochmals Rücksprache mit dem untersuchenden Arzt/Ärztin genommen werden.

 
 
 
Schriftgröße A   A   A